歯周病の治療
基本的な歯周治療
歯周病は細菌感染症ですから、まず付着している歯石等を除去する必要があります。そして歯垢(プラーク)が石灰化し、やがて歯石になることを考えると、日々のブラッシングによるプラークコントロールの徹底は基本になります。
その為には歯科医院で定期的な健診を受け、適切なブラッシング指導を受け予防をする事が大切です。
軽度な歯周病であれば歯科医院での治療と日々の予防で治療をする事が可能ですが、重度な症状になるとオペが必要な場合もあります。
悪くなる前に予防をし防ぐ事が最も重要と言えます。
歯周病の基本治療とブラッシング指導
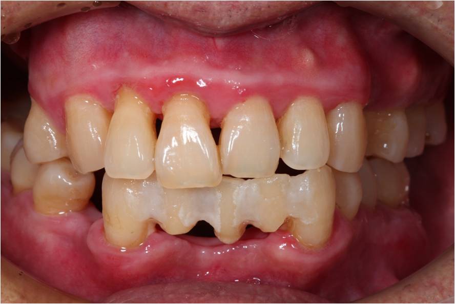
咬み合わせと歯周病の関係
歯周病と咬み合わせは非常に深い関わりを持っています。
歯周病で支える骨が少なくなった歯にとっては、通常の食生活による負荷でも暴力的な力となってしまう場合があります。
また、咬み合わせのバランスが悪いと力が均等に分散せず一部の歯に暴力的な力がかかる場合があります。
更に、例え支える骨が充分残っていたとしても歯ぎしりをする場合には暴力的な力が加わります。
力のみでは歯周組織に炎症が起こり歯を支える骨が失われる事はありませんが、歯の汚れ(歯周病の原因である細菌)による炎症が起きている場合、暴力的な力が加わると急速に歯周組織(歯を支える骨)が喪失する場合があります。
咬む機能を回復する事は歯科治療の重要な目的の一つです。
歯周病をコントロールするためにも咬み合わせの治療はとても重要になります。
生活習慣が原因の歯周病
喫煙や歯ぎしりなど生活習慣にまつわる問題も無視できません。たばこに含まれるニコチンは血管を収縮させてしまい、血液の循環量を減少させてしまいます。ただでさえ心臓から遠い歯茎の血管が細くなって、血液の量が少なくなってしまうのは歯周病菌と戦うには圧倒的に不利です。
したがって、歯科医師の立場として口腔内のことを考えると、たばこは「百害あって一利なし」ということになります。
たばこを吸うことにより、歯周病の因子を増加させ、かかりやすくなり進行させているという、事実をきちんと知ることが大切です。今まで多くの方が、禁煙に成功しています。
このように歯周病治療は患者様によって疾患の成り立ちや背景が違うため、よく検査をし治療プランを練らなければならないのです。




















