歯周治療症例集
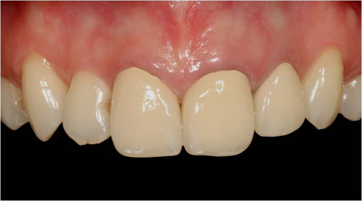
歯周形成外科手術 case1
40代女性
前歯の審美障害を主訴に来院。
歯と歯茎、唇のバランスを改善するため、歯周形成外科手術を行い、前歯5本をオールセラミッククラウンによって修復しました。
前歯の審美障害を主訴に来院。
歯と歯茎、唇のバランスを改善するため、歯周形成外科手術を行い、前歯5本をオールセラミッククラウンによって修復しました。
大きく審美性が崩れたケースなどは、修復物だけで審美性を獲得するのが困難な場合もあります。そのような場合、歯周形成外科手術は非常に有効な方法です。

口腔内の写真です。診療前と診療後で明らかな違いがお分かり頂けるかと思います。
歯周形成外科手術 case2
一番前の歯のかぶせの長さが短いため、歯周形成外科手術(歯冠長延長術)により長さを揃え、オールセラミッククラウンで修復。
歯周形成外科手術により前歯のバランスが改善され、審美性が獲得されました。
歯周形成外科手術により前歯のバランスが改善され、審美性が獲得されました。
歯周形成外科手術 case3
20代 女性
主訴 「前歯のかぶせをやり変えたい」
歯周形成外科手術により歯茎のラインを整え、オールセラミッククラウンで修復。
歯周形成外科手術により、歯と歯茎のバランスを修正することで、審美性が改善されました。
主訴 「前歯のかぶせをやり変えたい」
歯周形成外科手術により歯茎のラインを整え、オールセラミッククラウンで修復。
歯周形成外科手術により、歯と歯茎のバランスを修正することで、審美性が改善されました。

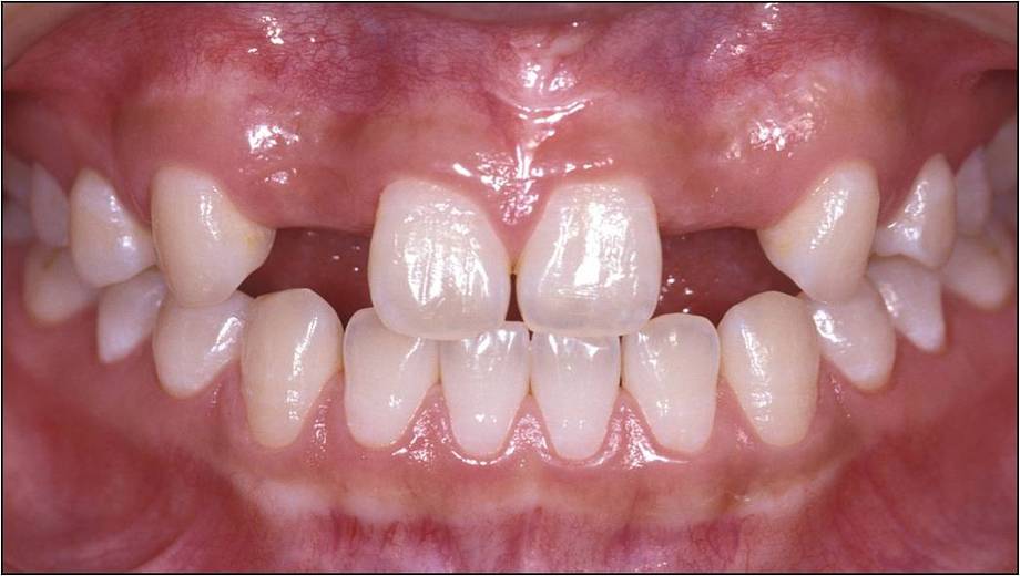
前歯部のインプラント症例 case1
16歳 女性
上の前歯2本が先天的に欠損しています、矯正医からの紹介で来院されました。
歯の大きさのバランスをとるために真ん中の2本には歯を削ることなくラミネートベニアを装着し、歯のない部分はインプラントで治療しました。骨や歯茎を再生し、インプラントを3次元的に正確な位置に埋入することにより、自然で美しいスマイルを得ることができました。
上の前歯2本が先天的に欠損しています、矯正医からの紹介で来院されました。
歯の大きさのバランスをとるために真ん中の2本には歯を削ることなくラミネートベニアを装着し、歯のない部分はインプラントで治療しました。骨や歯茎を再生し、インプラントを3次元的に正確な位置に埋入することにより、自然で美しいスマイルを得ることができました。

歯周病の基本治療とブラッシング指導 case1
歯科衛生士による歯周基本治療(ブラッシング指導、歯石除去、プロフェショナルクリーニングなど)のみで改善された口腔内の状態です。
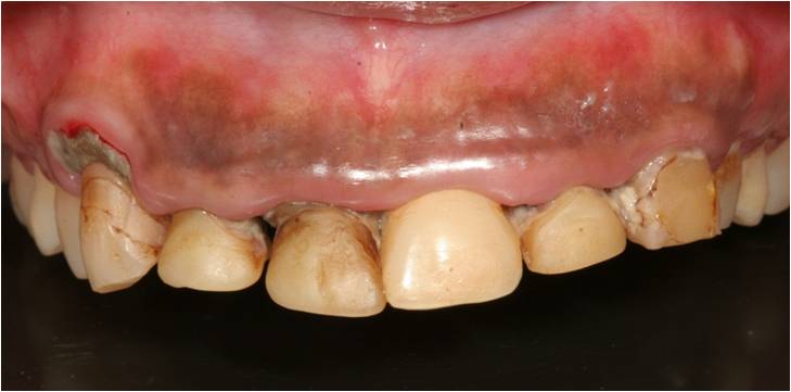
上顎前歯を審美的、機能的に修復した症例
約13年前~骨ごと喪失し、ブリッジで治療を受けられた方です。
当院来院時には残っていた歯の周りの骨が全て失われていました。




![]() |
![]() |
![]() |
ブリッジを除去し感染した歯を抜歯した後の状態です。 歯槽骨は水平的、垂直的に大きく欠損してしまい正常な形の歯を入れることができません。またこの状況が談笑時に見えてしまいます。 |
![]() |
![]() |
| CTでも3次元的に歯槽骨が欠損しているのがわかります。 | |
![]() |
![]() |
| 骨と歯茎を再建しインプラントを埋入しました。 | |




治療終了時の状態です。
インプラントが埋入されていますが、どの歯がインプラントかわかりますか?

自然で美しい口元、スマイルになりました。
治療前と比較してみてください。
|
この方の治療に関する論文がPRD【THE INTERNATIONAL JOURNAL OF PERIODONTICS & RESTORATIVE DENTISTRY (歯周病と欠損補綴[インプラント]に関する国際誌)】に認められ掲載されることになりました。 3-Dimensional Bone and Soft Tissue Requirements for optimizing esthetic results in compromised multiple implant cases Tomohiro Ishikawa, Maurice Salama*, Akiyoshi Funato**, Hajime Kitajima***, Hidetada Moroi, Henry Salama, David Garber |



































